Gum Surgery in Gurugram

/
Gum Surgery

Gum Surgery in Gurugram at Petal Smiles – Your Partner in Lifelong Oral Health

Your gums play a vital role in keeping your teeth healthy and strong. When gum disease or gum recession occurs, it can lead to tooth sensitivity, bone loss, bad breath, and even tooth loss. Without proper treatment, these issues can worsen, affecting both your oral health and overall well-being. At Petal Smiles, Gurugram, we specialize in advanced gum surgery procedures that not only treat and repair damaged gums but also improve the aesthetics of your smile. Whether you need gum grafting, deep pocket reduction, or cosmetic gum contouring, our expert team is here to help you achieve healthy, strong gums for life.

Comprehensive Gum Surgery Services at Petal Smiles, Gurugram

Comprehensive Gum Surgery Services at Petal Smiles, Gurugram

At Petal Smiles, we provide comprehensive gum surgery services in Gurugram designed to improve the health, function, and appearance of your gums. Whether you're dealing with gum disease, gum recession, or other periodontal concerns, our skilled team offers personalized treatments tailored to restore your gum health. Using the latest technology and advanced techniques, we ensure a comfortable experience and optimal results, giving you a healthier, more confident smile. Why Choose Gum Surgery at Petal Smiles, Gurugram? ✔️ Expert Periodontal Care Our highly skilled periodontist, Dr. Adish Chaudhary, is trained to handle a wide range of gum issues, from gum disease treatment to complex surgeries, providing professional care every step of the way. ✔️ Advanced, Minimally Invasive Techniques We use state-of-the-art technology and minimally invasive methods, reducing recovery times and ensuring a comfortable experience during and after the procedure. ✔️ Personalized Treatment Plans Each gum surgery in Gurugram is tailored to your unique needs, addressing your specific condition and ensuring the best possible outcome for your oral health. ✔️ Restoration of Gum Health and Aesthetics Our gum surgery services not only improve the health of your gums but also enhance the aesthetics of your smile, restoring confidence and function to your mouth.

Restore Your Gum Health with Expert Gum Surgery Services at Petal Smiles, Gurugram

At Petal Smiles, Gurugram, we specialize in comprehensive gum surgery services aimed at improving both the function and appearance of your gums. Whether you're struggling with gum disease, recession, or other periodontal issues, our expert team offers personalized treatment plans to address your specific needs. With the latest techniques and technology, we ensure a comfortable, effective procedure that brings lasting results. Why Choose Gum Surgery at Petal Smiles? ✔️ Experienced Periodontists Our team, led by Dr. Adish Chaudhary, is highly trained in various gum surgery procedures, providing expert care tailored to your needs. ✔️ Cutting-Edge Technology We use the latest advancements in gum surgery in Gurugram to ensure precision, reduced discomfort, and faster recovery times. ✔️ Customized Treatment Options We create individualized treatment plans addressing your specific gum health concerns for optimal results. ✔️ Enhanced Gum Aesthetics Our gum surgery services restore gum health and enhance your smile’s appearance, giving you a more balanced and attractive look.

Achieve Healthier Gums with Advanced Gum Surgery Services at Petal Smiles, Gurugram

At Petal Smiles, Gurugram, we are committed to restoring the health and beauty of your gums with our advanced gum surgery services. Whether you’re facing gum disease, gum recession, or other periodontal issues, our experienced team uses cutting-edge techniques to provide effective solutions that improve both the function and appearance of your smile. We ensure a comfortable, personalized treatment plan tailored to your specific needs, promoting long-term gum health. Why Choose Gum Surgery at Petal Smiles, Gurugram? ✔️ Skilled and Experienced Specialists Our expert periodontist, Dr. Adish Chaudhary, is highly trained in performing various gum surgeries in Gurugram, providing top-notch care and ensuring your gums are in safe hands. ✔️ State-of-the-Art Technology We utilize the latest technological advancements in gum surgery, ensuring precision, faster recovery, and minimized discomfort. ✔️ Customized Treatment Plans We understand that every patient is unique. That’s why we offer personalized treatment plans designed to address your specific gum health concerns and goals. ✔️ Improved Gum and Smile Aesthetics Our gum surgery services not only restore gum health but also enhance the overall appearance of your smile, leaving you with a more balanced and confident look.

Benefits of Gum Surgery at Petal Smiles, Gurugram

✔️ Improved Gum Health – Effectively treats gum disease, restores tissue, and reduces infection risk.
✔️ Restoration of Gum Function – Ensures better tooth stability and overall oral health.
✔️ Enhanced Smile Aesthetics – Corrects gum recession and uneven gum lines for a balanced smile.
✔️ Prevention of Further Oral Complications – Addresses issues early to prevent tooth loss, bone damage, and infections.

Gum Surgery
Gum Surgery

Why Choose Petal Smiles for Your Gum Surgery Needs in Gurugram?

✔️ Expert Periodontist – Dr. Adish Chaudhary
Our skilled periodontist, Dr. Adish Chaudhary, has extensive experience performing a wide range of gum surgeries in Gurugram, delivering high-quality care tailored to your unique gum health concerns.

✔️ Advanced, Minimally Invasive Techniques
We use the latest technology and minimally invasive procedures, ensuring precision, faster healing, and minimal discomfort during and after your gum surgery.

✔️ Personalized Treatment Plans
Every patient is unique. We create customized treatment plans that address your specific gum health needs, ensuring the most effective and long-lasting results.

✔️ Focus on Comfort and Care
At Petal Smiles, Gurugram, your comfort is our priority. We provide a supportive, caring environment throughout your gum surgery process to help you feel confident and at ease.

Dr. Adish Chaudhary – Expert Periodontist in Gurugram

Dr. Adish Chaudhary brings years of experience in periodontal care and gum surgery. Known for his precise, gentle approach, he ensures that every patient receives personalized, effective treatment to restore gum health and smile aesthetics.

 

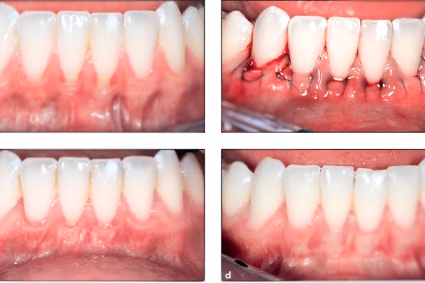
Gum Surgery in Gurugram at Petal Smiles – Dr. Adish Chaudhary performing advanced periodontal treatment for healthy gums and confident smiles.

Patient Testimonial:

Ritika Sharma, Gurugram
I had been struggling with gum recession for years, and it was affecting my confidence. Dr. Adish Chaudhary and the team at Petal Smiles made the entire gum surgery process smooth and comfortable. My gums are healthier, and my smile looks amazing. Highly recommend their services in Gurugram!
Amit Verma, Gurugram
The gum surgery at Petal Smiles completely transformed my oral health. Dr. Adish Chaudhary explained the procedure clearly and made sure I was comfortable throughout. My gums are stronger, and I no longer have sensitivity issues. Truly the best gum surgery clinic in Gurugram!
Sneha Kapoor, Gurugram
I was nervous about undergoing gum surgery, but Dr. Adish Chaudhary and the team at Petal Smiles made me feel at ease. The procedure was smooth, minimally invasive, and my recovery was quick. My gums are now healthy, and my smile looks natural and beautiful. Highly recommended in Gurugram!

Book Your Appointment

Please enable JavaScript in your browser to complete this form.

Schedule Your Dental Appointment Today!

Don’t wait any longer to achieve the smile you’ve always dreamed of. Contact Petal Smiles today to schedule your appointment and take the first step toward a healthier, more confident smile with our expert dental care!

 
 
 

FAQ'S

Gum surgery treats issues like gum disease, recession, or infection. It helps restore gum health, reduce inflammation, and prevent further damage to your teeth and gums.

Recovery usually takes a few weeks, with mild discomfort in the first few days. You'll get specific aftercare instructions from us to help speed up healing.

We use local anesthesia to prevent pain during the procedure. After surgery, mild discomfort is common, but we offer pain relief options to keep you comfortable.

If you have symptoms like persistent gum bleeding, swelling, recession, or tooth sensitivity, you may need gum surgery. Our dental experts at Petal Smiles will evaluate your condition and recommend the best treatment options.